670 Superior Ct, Suite 101
Medford, OR 97504
Call Us Today!
(541) 855-3738
Dental Excellence | Preventative Program, Dental Fillings and Crowns  amp  Caps

Dentistry Before and After Photos

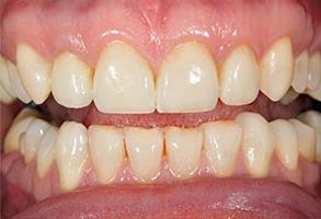
before

Before

Dental Excellence | Extractions, Preventative Program and Implant Dentistry

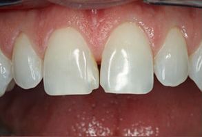
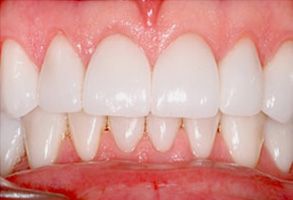
After

Dental Excellence | Dentures, Dental Bridges and Dental Fillings

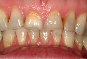
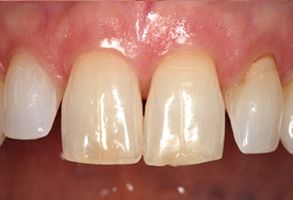
Before

Dental Excellence | Sedation Dentistry, Dental Bridges and Veneers

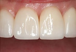
After

Dental Excellence | Preventative Program, Root Canals and All-on-6 reg

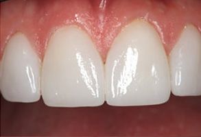
Before

Dental Excellence | Implant Dentistry, Veneers and Dentures

After

Dental Excellence | Veneers, Implant Dentistry and Crowns  amp  Caps

Before

Dental Excellence | Preventative Program, Sedation Dentistry and Oral Exams

After

Dental Excellence | Extractions, Dental Bridges and Implant Dentistry

Before

Dental Excellence | Extractions, Implant Dentistry and Sedation Dentistry

After

Dental Excellence | Root Canals, All-on-6 reg  and Dentures

Before

Dental Excellence | Oral Exams, Dental Fillings and Crowns  amp  Caps

After

Dental Excellence | Root Canals, Preventative Program and Dental Bridges

Before

Dental Excellence | Dentures, Veneers and Teeth Whitening

After